
Christie Long, DVM, vice president of Modern Animal Hospital breaks down the hospitals unique and innovative features that make pets, pet parents, and staff feel comfortable at the clinic, including no ringing phones and an open concept.

Christie Long, DVM, vice president of Modern Animal Hospital breaks down the hospitals unique and innovative features that make pets, pet parents, and staff feel comfortable at the clinic, including no ringing phones and an open concept.

Nicole L. Miller, MD, FACS, describes her clinical practice treating patients with complex benign prostatic hyperplasia.

Tina Q. Tan, MD, FAAP, FIDSA, FPIDS, discusses the differences between exclusively pediatric hospitals like Ann & Robert H. Lurie Children’s Hospital of Chicago vs other hospitals open to the public. The differences she includes are a playroom onsite, toys available, kids riding scooters down the hallway, and keeping the patients as calm as possible, among others.

Paul Harari, MD, details how University of Wisconsin Health will begin to offer upright proton therapy, making it the first institution in the state to do so for the treatment of cancer.

Capital Area Pediatrics in Northern Virginia is making big strides in the area of mental health care for their patients. Dr. Laura Madoo, DO, FAAP, who has a special interest in adolescent medicine, mental health, and complex care; and Jennifer Boyd, RN, BSN, a nurse navigator, explains how they are building better mental health care services in the pediatric medical home.

John Dobak, MD, is the CEO of DermTech. Derm Tech is a company dedicated to helping diagnose melanoma is less invasive ways. He discusses their newest technology available to test suspicious moles and more in this video.

ACOG Immediate past president Eva Chalas, MD, discusses the meeting theme and latest updates from ACOG's annual clinical and scientific meeting. Erin T. Carey, MD, tackles the different methods for pain management in endometriosis, how clinicians can manage patient expectations, and explained how to counsel patients on their treatment journey during her presentation. In this EdTalk, Lisa Foglia, MD; Andrea L. Braden, MD; and Catherine Cansino, MD, MPH, discuss strategies for improving diversity and equity within obstetrics and gynecology.

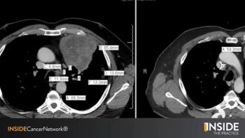
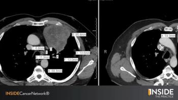
CancerNetwork’s Ariana Pelosci spoke with Suresh G. Nair, MD, Physician in Chief at Lehigh Valley Health Network’s Topper Cancer Institute, about the recent advances made and the top-line tumor tracking system being implemented in the institute. In the interview, Nair discusses the importance of multidisciplinary teams in cancer care, and where he hopes to see the Topper Cancer Institute advance with the future of cancer care.

Sam Asgarian, MD, MBA discusses how PrismRA uses a patient’s disease signature to match them with a therapy best suited for them and how this new technology has the potential to produce faster, better outcomes in this patient population.

On this segment of Inside the Practice, dvm360 caught up with Dr. Donita McCants as she explains why she opened Dr. Donita’s Veterinary Concierge Services and the benefits she discovered from having a clinic on wheels.

Sanjay Goel, MD, MS, and Howard S. Hochster, MD, FACP, discuss Dr. Goel’s new role as the director of phase 1 clinical trials at Rutgers Cancer Institute of New Jersey.

In this episode of Inside the Practice, Dr. Stephen Jones, a radiologist by trade, offers an in-depth look into the advances in magnetic resonance imaging that Cleveland Clinic is now leveraging in clinical practice. Specifically, he speaks to the capabilities of new 7-Tesla MRI machines, which Cleveland Clinic has now installed on-site in Ohio.

Dr. Yehuda Handelsman discusses how he has navigated his role as the medical director and principal investigator of the Metabolic Institute of America for more than 20 years, which includes taking lead on the organization’s pair of annual conferences: The World Congress on Insulin Resistance and Diabetes and the Heart in Diabetes.

Carlie Traylor, PharmD, discusses the Community Pharmacy Fellowship from the National Community Pharmacists Association and CPESN that connects community pharmacist and focuses on 3 main themes: transformation, managerial skills, and patient care.

The Allegheny Health Network breast reconstruction surgery team are, by their count, the second team in the nation to conduct regular practice with a key innovation: a robot-assisted deep inferior epigastric artery perforator (DIEP) flap procedure—a minimally invasive technique at the forefront of advancement for cancer-related reconstruction surgery. The interview features Dr. Moreira and Dr. Murariu explaining the intricacies of the procedure, keys to defining patient eligibility, and future utility of robot-assisted reconstruction surgery.

In this interview, Ellen Marmur, MD, discusses the history of fillers at her practice and how her love for traditional dermatology, such as helping patients with psoriasis or atopic dermatitis, led her to discover a passion for aesthetics. The topics of how filler is used, managing patients expectations, and the future of combination treatments are all discussed.

CancerNetwork’s Audrey Sternberg spoke with Yu Shyr, PhD, professor and chair of the Department of Biostatistics at Vanderbilt University Medical Center and director of the Vanderbilt Center for Quantitative Sciences, about Cancer-Immu, an open-access resource that uses available data to link onco-immunological genomic data and immunophenotype with biological insights that may be used for selection of immune checkpoint blockade. In the interview, Shyr discusses clinical challenges with immunotherapy use, how the developers of Cancer-Immu aim to solve these problems, and who ideal users of the platform are.